Kattenruzie loopt hoog op in Nuenen: straatkat beschoten en kogeltje kan niet worden verwijderd
Een straatkat in Nuenen is onlangs beschoten, meldt de Stichting Straatkat. Afgelopen week is bij het dier een kogeltje in het lijf gevonden, bevestigt een dierenarts. Volgens de stichting is de kat beschoten door een boze buurtbewoner. De stichting heeft daarom aangifte gedaan.
De straatkat werd verzorgd en gevoerd door een buurtbewoner. Volgens de stichting klaagden sommige buurtbewoners over overlast door een zevental zwerfkatten in de Nuenense wijk Eeneind. Volgens de stichting is de kwestie zo hoog opgelopen, dat een bewoner op een van de katten heeft geschoten. De katten wonen op een industrieterrein en zijn niet bij mensen onder te brengen omdat ze niet tam zijn.
Dierenarts
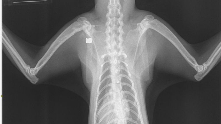
De zwart met witte kat is daarom gevangen en naar de dierenarts gebracht. Dierenarts Stijn Peters bevestigt dat het dier een kogeltje in zijn lijf bleek te hebben. De kogel werd maandag gevonden op röntgenfoto’s.
“Het gaat om een kleine luchtbukskogel boven zijn borst. De kogel zit op een plek waar je moeilijk bij komt, er zitten belangrijke spieren in de weg. Dan is het beter om de kogel te laten zitten”, legt de dierenarts uit. Volgens de arts is de kat ongeveer een jaar oud. De kat maakt het inmiddels beter, maar zal altijd mank blijven lopen.
De verklaring van de arts is meegenomen in de aangifte. De stichting hoopt dat de politie het serieus oppakt, want het kattenconflict in de wijk dreigt uit de hand te lopen. Een andere buurtbewoner zou mogelijk andere zwerfkatten in de wijk hebben gevangen en ergens anders hebben uitgezet. Volgens de stichting is mogelijk nog een van de zwerfkatten in de wijk beschoten. Een ander dier heeft namelijk kleine gaatjes in zijn lijf, vertelt een medewerker.
