Kat Felix doodgeschoten en zoiets gebeurt niet voor het eerst in Moerdijk
John van Hal en zijn vrouw Lia zijn er kapot van. Hun kat Felix werd vrijdag doodgeschoten met een luchtbuks. Het is niet voor het eerst dat een kat wordt beschoten in de buurt van hun huis in Moerdijk en daarom wil ook de politie weten wie er achter de beschietingen zit. “Misschien iemand die het op ons gemunt heeft?”, vraagt John zich af.
Felix werd vrijdag gevonden op ongeveer twintig meter van het huis van John en Lia. “Een buurjongen stond bij mijn vrouw voor de deur en vertelde dat hij een dode kat had gevonden. Toen is ze met hem meegelopen en zag ze Felix liggen.”
"Daar kun je ook een kind mee vermoorden."
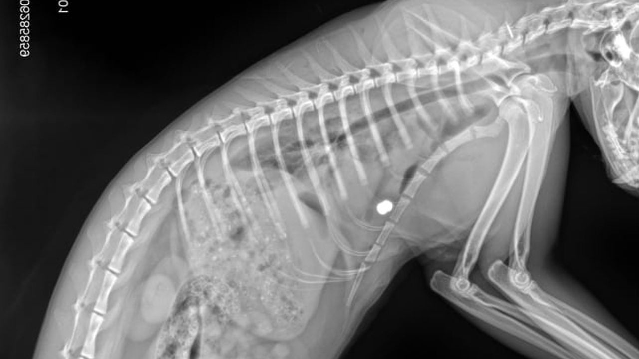
Lia nam het beestje mee naar huis, waarna Felix bij een dierenarts terechtkwam. Die kwam erachter dat de kat was doodgeschoten met een flinke kogel. “Daar kun je ook een kind mee vermoorden”, zegt John bezorgd.
In ruim een jaar tijd is het al de vijfde beschieting of verdwijning van een kat in Moerdijk. “In mei werd mijn kat Jip beschoten, maar gelukkig heeft hij het overleefd. Na wat media-aandacht dachten wij dat de dader het niet meer zou doen, maar dat was een verkeerde inschatting.”
"Tussen toen en nu zijn ook al twee andere katten uit de buurt beschoten."
Vorig jaar raakte John ook een kat kwijt. “Die ging nooit ver van huis, maar was toen ineens weg. Ik heb die nooit meer teruggezien. En sindsdien zijn ook al twee andere katten uit de buurt beschoten.”
Verdriet overheerst bij John en Lia na het overlijden van Felix, zeker omdat het niet de eerste keer is dat een van hun katten is beschoten. “Ik ben een echte dierenliefhebber, want naast de katten heb ik ook nog duiven en een hond. Maar in de avond mogen ze niet te vaak naar buiten, want ik wil niet dat mensen er last van hebben. En dat werkt, want gelukkig heeft er nooit iemand over geklaagd", merkt hij op.
Het doet John daarom goed dat hij veel reacties heeft gekregen nadat hij op Facebook schreef over het trieste overlijden van Felix. “Ook van mensen die ik totaal niet ken”, klinkt hij verbaasd. “Dat gaat nu nog steeds door. En echt iedereen wil helpen, gelukkig beschouwen ook zij dit als niet normaal. Daar ben ik blij mee, want het is hier verder hartstikke leuk in het dorp. Alleen jammer dat er ergens een rotte appel zit."
De politie laat weten te denken aan een buurtonderzoek en roept de Moerdijkers op verdachte situaties te melden. "Dit is een vorm van dierenmishandeling, dat kan natuurlijk niet."
