Behandelplan voor kanker sneller klaar door uitvinding van Nienke
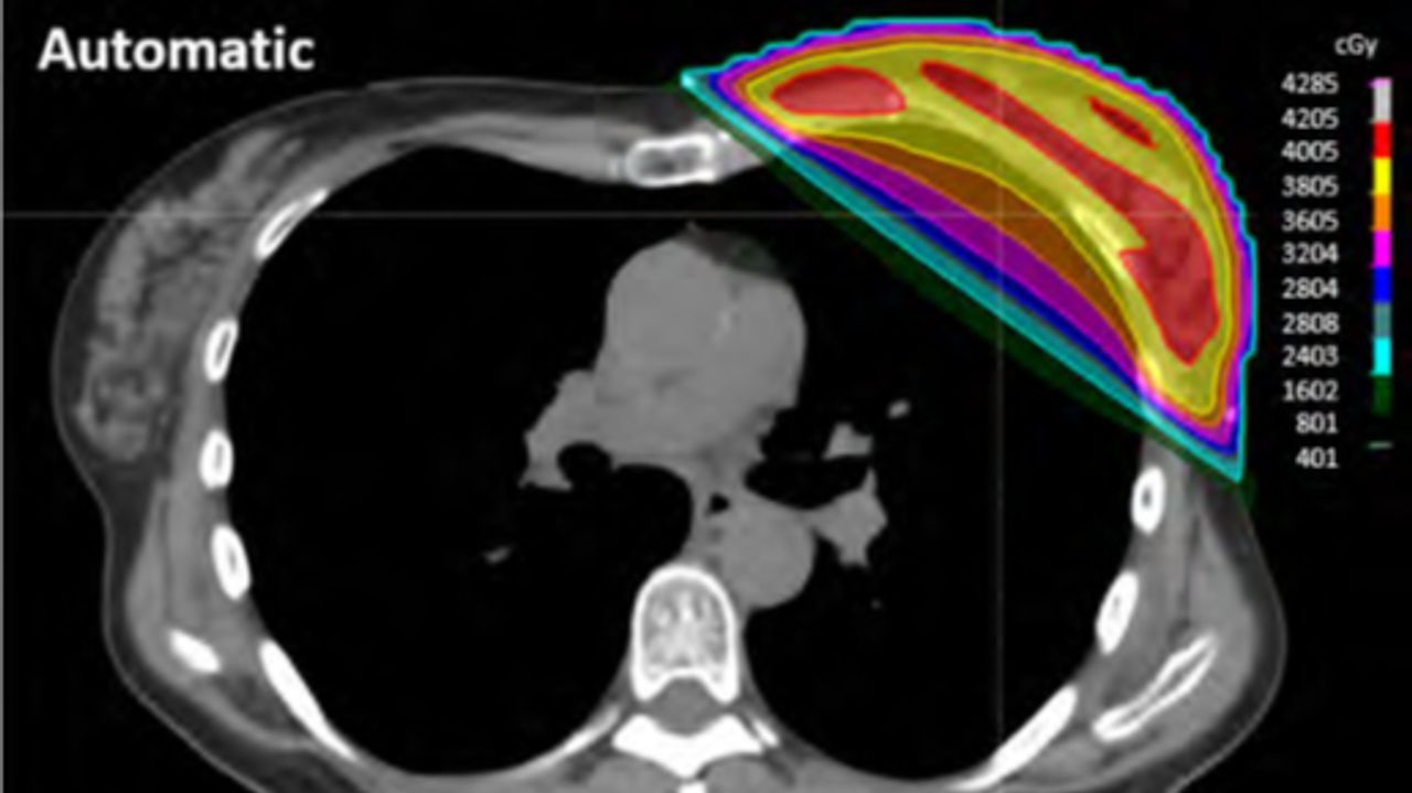
Nienke ontwikkelde het AI-model. Met de gegevens van honderd patiënten met borstkanker kon het model ‘leren’ hoe het zelf tumoren en de omliggende organen in kaart kan brengen. Daarna bepaalt het model hoe het bestralingsplan eruit moet zien.
"Vanuit welke hoek moeten we de patiënt bestralen? Hoeveel dosis moet die patiënt in de borst krijgen om te zorgen dat het tumorweefsel dat is overgebleven na de operatie daadwerkelijk doodgaat?" Het zijn allemaal vragen waarop de computer antwoord kan geven.
"Bestraling is nou eenmaal schadelijk. We willen daarom andere organen die eromheen liggen niet al te veel beschadigen. Constant wordt er een afweging gemaakt. Ik wil hier zoveel dosis in de borst geven, maar ik wil ook niet dat er te veel in het hart of een long komt. De afweging moest tot nu toe met de hand gemaakt worden. Nu kan het automatisch."
AI doet er een halfuur over en dat is inclusief de controle door een mens. Voorheen was een arts er een uur op de computer mee bezig. "Ze kunnen meer met de patiënt bezig zijn."
Borstkanker is met ruim 15.000 nieuwe patiënten per jaar de meest voorkomende vorm van kanker in Nederland. Borstkankerpatiënten krijgen in zestig procent van de gevallen bestraling en dat aantal groeit nog altijd.
De geboekte tijdwinst is cruciaal voor de lange termijn, zo zegt Nienke. "Het mooiste vind ik dat we in staat zijn om met behulp van techniek de zorg te verbeteren. We weten dat de zorg de komende jaren een probleem gaat worden. Er komt heel veel druk in de zorg, met minder personeel. Met hetzelfde personeel, of misschien met minder mensen, moet je meer werk kunnen verzetten. Met behulp van AI lukt dat."
"De arts heeft zo meer oog voor de patiënt."
Nienke wilde vroeger eigenlijk in de gezondheidszorg werken: "Ik vond geneeskunde altijd heel interessant. Het leek me mooi om dat te gaan doen en mensen te kunnen helpen. Ik kwam er snel achter dat dit niet voor mij weggelegd is. Ik was op de middelbare school veel beter in de technische vakken. Het was zonde om daar niks mee te doen. Dit was de ideale manier om toch iets te kunnen doen."
Het succes van de AI-modellen bij borstkanker heeft geleid tot uitbreiding naar andere soorten kanker. Zo worden de automatische intekeningen inmiddels ook toegepast bij patiënten met slokdarm- en longkanker.
In haar eigen omgeving kreeg Nienke ook te maken met de ziekte. "Hierdoor zie ik dat er meer bij komt kijken. Als ik aan mijn onderzoek werk, kijk ik alleen naar de techniekkant, maar het is een groot emotioneel proces. Het lijkt mij mooi om de zorgen rondom de techniek weg te nemen zodat de arts meer oog heeft voor de patiënt."
