Max Looman (22) houdt nu zijn rug recht: 'Mijn kromme rug en tics maken mij alles behalve saai'
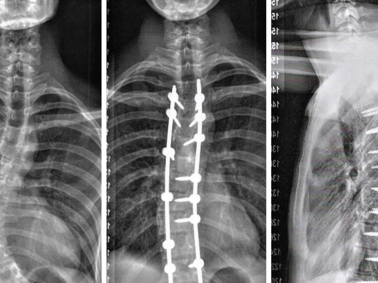
Toen hij vijftien jaar was, schoot Max de lucht in. "Dat was ook het moment dat mijn kromme rug opgemerkt werd door mijn ouders en klasgenoten op school in Oss. Die kromme rug heet scoliose. Het komt best vaak voor, bij drie op de honderd kinderen. Toch hebben maar weinig mensen ervan gehoord" , legt Max uit.
Het is een missie van Max geworden om aandacht voor deze aandoening te vragen. "Want hoe eerder het ontdekt wordt, hoe beter het te bestrijden is."
Fysiotherapie, revalidatie, voorkwamen niet dat hij toch onder het mes moest. "Voor een korset was ik te laat. Voor een operatie op mijn 16e te jong. Een jaar geleden ben ik geopereerd in Boxmeer. In de Sint Maartenskliniek zijn ze gespecialiseerd in scoliose. Er zitten nu schroeven en staven in mijn rug en ik heb een litteken van onderkant van mijn nek tot net boven mijn onderbroek als aandenken."
Ondanks dat hij drie liter bloed verloor tijdens de operatie en het afbouwen van morfine behoorlijk pijnlijk was, vindt Max dat de operatie is meegevallen. "Na vier dagen verliet ik het ziekenhuis en na vier maanden begon ik met motorrijlessen. Een wereld ging open. Ik kon eindelijk mijn rug recht houden, daarvoor zakte ik erdoorheen."
"Het gekke is dat ik nu een 'banger' mens ben dan voorheen. Nu denk ik wel eens: wat als er een pin losschiet? Zo'n kromme rug, daar groei je langzaam in mee", grinnikt hij. "Dan weet je dat je iets niet kunt. Nu heb ik ineens het besef dat ik veel kan verliezen. Gek hoe dat werkt", concludeert hij zelf.
De ouders van Max hebben wel hun handen vol aan hem gehad. "Mijn moeder was het meeste thuis. Zij verdient een standbeeld. Toen ik zes was bleek ik namelijk ook nog eens Gilles de la Tourette te hebben. Dat zijn onbeheersbare tics. Ik schreeuwde nog wel eens geheel plotseling en ik wilde mezelf nog wel eens oneindig tegen het hoofd slaan. "
"Net na de operatie leken de tics even weg. Maar toen de energie terugkwam, kwamen de tics ook weer. Helaas heb ik daar na vele omzwervingen nog niks tegen gevonden. Ik heb het maar omarmd. Dit syndroom staat niet alleen bekend om zijn onbeheersbare tics maar ook om de enthousiaste en sociale persoonlijkheid die Gilles de la Tourette-mensen hebben. Het zijn mensen die opvallen. Ik ben geen grijze muis.", klinkt het trots.
