Boete voor man die met zijn luchtbuks op een straatkat schoot in Nuenen
De kat werd verzorgd en gevoerd door een buurtbewoner. Sommige buurtbewoners klaagden over overlast door zeven zwerfkatten in de wijk. Volgens Stichting Straatkat liep de kwestie zo hoog op, dat de man op een van de katten schoot met een luchtbuks. De katten wonen op een industrieterrein en zijn niet bij mensen onder te brengen omdat ze niet tam zijn.
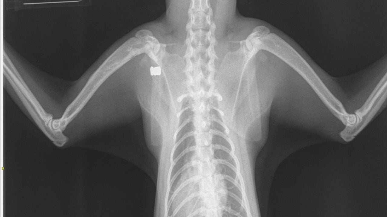
De kat overleefde de aanslag, maar het was volgens de dierenarts niet mogelijk om het kogeltje te verwijderen. De kat zal daarom altijd mank blijven lopen.
De man heeft een geldboete van vijfhonderd euro gekregen. Ook moet de man een schadevergoeding van 150 euro betalen aan de buurtbewoner die de kat verzorgde.
Schadevergoeding
Het Openbaar Ministerie overwoog eerst nog om de dader een werkstraf te geven. Maar omdat het om een wat oudere man gaat en omdat de coronacrisis een werkstraf lastig maakt, is de zaak afgehandeld met een geldstraf.
